審美治療

白く、美しく、そして健やかに。

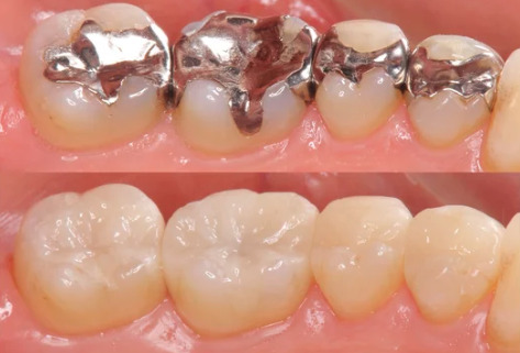
銀歯を白く、自然な笑顔へ導きます。

銀歯を白く、美しく――健康にもつながる審美治療

「昔治療した銀歯が気になる」

「前歯のすき間を治したい」

このようなお悩みはありませんか?

口元の見た目が気になると、思い切り笑えなかったり、人前で話すのをためらったりすることもあるかもしれません。

当院の審美治療では、ただ白く美しい見た目を追求するだけでなく、噛む・話すといった機能性の向上、そしてむし歯の再発予防も重視しています。中でも「ジルコニアセラミック」は、耐久性・審美性・安全性の高い素材としておすすめです。

これからも、自分の歯のように噛める喜びを

銀歯のリスクとセラミックとの違い

保険診療で使われてきた銀歯(金銀パラジウム合金)は確かに実用的ですが、見た目だけでなく、次のようなリスクがあります。

 

・目立つ銀色で笑顔が不自然になりがち
・金属イオンが溶け出し歯ぐきが黒ずむ
・金属アレルギーを引き起こすリスク

 

一方、ジルコニアセラミックは、変色せず、歯ぐきとの相性もよく、金属を使用しないためアレルギーの心配がありません。白く自然な仕上がりで、長期的に見ても安心です。

銀歯 セラミックの歯
概要 保険適用 保険外診療(自費)
目的 噛めるようにすること 見た目に自然で、かつ快適に噛めるようにすること
メリット ・治療費が安価
・耐久性がある
・自然な美しさと噛み心地を追求できる
・汚れがつきにくく、むし歯再発の可能性も低い
デメリット ・目立つ
・汚れがつきやすく、治療部位付近にむし歯が再発する可能性がある
・治療費が高価
・割れることがある

当院の審美治療で使用する主な素材

当院では、見た目の美しさはもちろん、機能性や耐久性、安全性まで考慮した素材を使用しています。患者さまのご希望や歯の状態に応じて、適切な素材をご提案いたします。

オールセラミック

特徴:金属を一切使用せず、セラミックのみで作製される人工歯です。天然歯のような自然な白さと透明感を再現でき、見た目に非常に優れています。金属アレルギーの心配もありません。変色や摩耗が少なく、長期的にも美しさが保てます。

治療期間 1~2カ月
治療回数 2~7回
リスク 強い衝撃などにより割れることがあります

ジルコニアセラミック

特徴:金属を一切使用せず、ジルコニアのみで作製される人工歯です。非常に強度があり、割れにくいことが特徴です。金属アレルギーの心配もありません。変色や摩耗が少なく、長期的にも美しさが保てます。

治療期間 1~2カ月
治療回数 2~7回
リスク 強い衝撃などにより割れることがあります

ジルコニアボンドセラミック

特徴:内側に強度の高いジルコニアを使用し、その上からセラミックを焼き付けた人工歯です。光の透過性に優れ、自然な見た目を実現しながら、非常に高い強度を持ち、奥歯など力がかかる部位にも適しています。金属不使用のため、金属アレルギーの心配がありません。

治療期間 1~2カ月
治療回数 2~7回
リスク 極端な噛みしめや衝撃で割れる可能性があります

メタルボンド

特徴:金属の土台にセラミックを焼き付けた人工歯です。内側が金属のため割れにくく、前歯から奥歯まで広い範囲で使用できます。ただし、金属部分が見えることや、歯ぐきの黒ずみ、金属アレルギーの可能性があるため、審美面でやや劣る場合があります。

治療期間 1~2カ月
治療回数 2~7回
リスク 金属が見える・歯ぐきが黒ずむ・金属アレルギーの可能性

ファイバーコア

特徴:むし歯などで大きく失った歯の土台(コア)を作る際に使用する、グラスファイバー(ガラス繊維強化樹脂)製の土台です。天然歯に近い弾性があり、歯根を傷めにくく、光を透過するため、上に被せるセラミッククラウンとも調和しやすく審美的です。金属を使用しないため、金属アレルギーの心配もありません。

治療期間 1~2カ月(被せ物と併用)
治療回数 2~7回(被せ物治療と同時進行)
リスク 過度な力が加わると割れることがあります

治療費について

オールセラミッック 137,500円(税込)
ジルコニアセラミック 137,500円(税込)
ジルコニアボンドセラミック 198,000円(税込)
メタルボンド 137,500円(税込)
ファイバーコア 16,500円(税込)
シンプルジルコニアインレー 49,500円(税込)
プレミアムジルコニアインレー(臼歯) 66,000円(税込)
シンプルジルコニアクラウン 66,000円(税込)
プレミアムジルコニアクラウン(臼歯) 93,500円(税込)
シンプルジルコニアクラウン(前歯) 110,000円(税込)
プレミアムジルコニアクラウン(前歯) 137,500円(税込)
接着料 88,000円(税込)

見た目だけではなく、歯の健康にもつながる選択を

審美治療は、単なる“見た目の改善”にとどまらず、再治療のリスクを減らし、口元に自信を持てるようになる大切な治療です。

保険診療では難しい「自然で美しい仕上がり」や「金属を使わない安全性」を重視される方に、適切な治療プランをご提案します。

気になる銀歯や歯の形・色について、ぜひお気軽にご相談ください。あなたらしい自然な笑顔のために、全力でサポートいたします。